إيداهو - (د ب أ): أقر مايكل واتكينز، المتهم بضرب قرد بما أفضى إلى موته في حديقة للحيوانات بولاية إيداهو الأمريكية العام الماضي، بالذنب يوم الخميس في اتهامات جنائية بمحاولة السرقة والسطو وجنحة استخدام القسوة مع الحيوان. وذكرت صحيفة «إيداهو ستيتسمان» أن العقوبة بحق واتكينز ستصدر في 16
...>>>...
|  |
| |
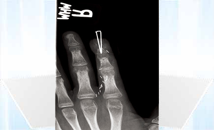
بيروت - الجزيرة: نجح فريق جراحي من مركز الامتياز في جراحة اليد، في المركز الطبي في الجامعة الأميركية في بيروت، في إنقاذ سبابة فتى في الخامسة عشرة من العمر من البتر بعد أن تهشمت في حادث انفجار بعض المفرقعات، وقد رممها الفريق باستعمال أصبع من أصابع قدم الفتى. وقال الدكتور يوسف
...>>>...
|  |
|