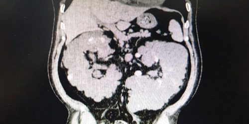
تمكن الفريق الطبي بقسم المسالك البولية بالمستشفى السعودي الألماني بالرياض من إنهاء معاناة مريض من آلام شديدة بالبطن، باستئصال الكلية اليسرى التي كانت متعددة الأكياس بحجم يتجاوز الـ30 سنتيمترًا والتي كانت سببًا مباشرًا في معاناة المريض بشكل دائم من آلام شديدة في البطن وارتفاع في درجات حرارة الجسم. وكان المريض صاحب الـ 48 عامًا قد قدم إلى استقبال المستشفى وهو يعاني آلاماً شديدة في البطن، مع ارتفاع في درجة الحرارة.
وبعد إجراء الفحوصات اللازمة تبين وجود أكياس متعددة ممتلئة بالصديد والتجمعات الدموية بالكلية اليسرى، وعلى الفور قرر الفريق الطبي إجراء جراحة عاجلة لاستئصال الكلية اليسرى والذي تم بنجاح وهو الأمر الذي أدى إلى تحسن عمل الكلية اليمنى وعودة نشاطها، وقد كان المريض يقوم بعمل غسل كلوي قبل ذلك. وعلى إثر ذلك خرج المريض من المستشفى بحال أفضل بعد إجراء العملية.