أجريت مؤخراً في مستشفى دلة عملية بالمنظار البطني الجراحي لإزالة "التضيق" بين حوض الكلية والحالب لطفلين يبلغان من العمر شهرين ونصف، وتعتبر أول تدخل جراحي بالمنظار في هذه الأعمار على مستوى المملكة.
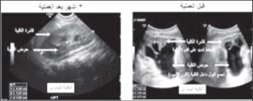
واكتشفت هذه الحالة فترة الحمل حين تبين وجود تضخم في حوض الكلية، وتأكد التشخيص بعد الولادة ومع المتابعة زاد حجم التضخم إلى الدرجة الشديدة وبدأ يؤثر على وظيفة الكلية.
وقام بإجراء العملية الجراحية الأستاذ الدكتور حمدان بن حماد الحازمي، أستاذ واستشاري جراحة المسالك البولية للأطفال بإستخدام المناظير والرجل الآلي.
وقد تم إجراء العملية بعمل ثلاث فتحات صغيرة للمنظار الجراحي ومقدارها 5 ملم للكاميرا الجراحية و 3 ملم لإدخال أدوات إجراء العملية، وتكللت ولله الحمد بالنجاح مع سرعة في التعاف، وخرج الطفلان في اليوم التالي بعد العملية.
يشار إلى أن عمليات المنظار الجراحي تتميز عن الشق الجراحي بعدة أشياء، ومنها: استخدام فتحات صغيرة، ووضوح تفاصيل العملية، والدقة في إجراء التدخل الجراحي، وقلة الإحساس بالألم، بالإضافة إلى سرعة فترة التعافي بعد العملية بشكل ملحوظ مقارنة بعمليات الشق الجراحي.
الجدير بالذكر أن "جراحة المناظير" تستخدم في مستشفى دلة لجراحات المسالك البولية للأطفال ممثلة في عمليات إزالة التضيق بين حوض الكلية والحالب، وعمليات إزالة الكلية التالفة أو جزء منها، وعمليات زراعة الحالب نتيجة انسداد أو ارتجاع بولي وعمليات إنزال الخصية المهاجرة داخل التجويف البطني في جميع الأعمار بدون الحاجة إلى الشق الجراحي.