في عملية معقدة ودقيقة نجح فريق طبي بوحدة الأورام والجراحة العامة بمستشفى د. سليمان الحبيب بالسويدي، في علاج حالة مرضية خطيرة لمريض يبلغ من العمر 44 عاماً كان يعاني من نزيف حاد بالمستقيم وإمساك مزمن والشعور بآلام حادة أسفل البطن، نتيجة وجود ورم خبيث في القولون السيني وانتشار عدة أورام بالكبد.
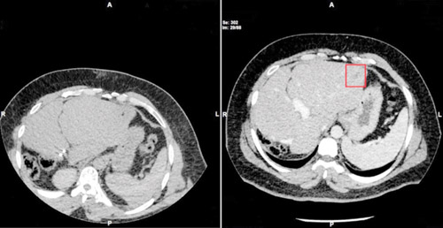
ذكر ذلك البروفيسور الدكتور سليمان الماجد نائب الرئيس للشؤون الطبية والتمريض بالمجموعة والمدير الطبي بالمستشفى، والذي أضاف بأنه فور وصول المريض للعيادة تم إخضاعه لبرنامج من الفحوصات المخبرية والتصوير المقطعي (C.T Scan)، وكذلك التصوير بالرنين المغناطيسي (M.R.I.) على منطقة البطن والصدر، موضحاً أن نتائج الفحوصات أوضحت بدقة وجود 7 أورام بالكبد تتراوح أحجامها بين الصغيرة والمتوسطة بالإضافة إلى وجود ورم بالقولون السيني بحجم (2×3×3) سم.
وعن الخطة العلاجية قال د.الماجد: بعد الاطلاع على نتائج الفحوصات والتاريخ المرضي للمريض ومناقشة حالته، تم اتخاذ القرار بالعلاج الجراحي للمريض على مرحلتين، موضحاً أن المرحلة الأولى خضع فيها المريض لعملية جراحية دقيقة استغرقت 4 ساعات، وتم فيها إزالة ورم القولون السيني بالإضافة إلى الأورام الموجودة في الفص الأيسر للكبد ولله الحمد تكللت العملية بالنجاح، وقد تم إعطاء المريض 6 جرعات كيماوي وبيولوجي.
مشيراً إلى أن المرحلة الثانية قام فيها الفريق الجراحي بإجراء عملية جراحية استغرقت 4 ساعات، وتم فيها إزالة الفص الأيمن من الكبد، موضحاً أنه بعد خروج المريض بعدة أيام تم استكمال الخطة العلاجية بإعطاء 3 جرعات كيماوي أخرى بمعدل جرعة كل أسبوعين.
وأشار الدكتور الماجد إلى أن المتابعة الدورية للمريض أبانت وجود نمو لورم جديد في الكبد دائري الشكل بقطر 1 سم، مؤكداً على أنه تم علاج هذا الورم بدون تدخل جراحي من خلال تقنية الكي والتي تتم باستخدام موجات التردد اللاسلكية (Radio Frequency Applications) ، مؤكداً على أنه بعد الانتهاء من الإجراء الجراحي، تم إخضاع المريض لفحص باستخدام التصوير المقطعي والرنين المغناطيسي على كامل الجسم للاطمئنان على وضعه الصحي ولله الحمد كانت النتائج مبشرة واتضح عدم نمو أية أورام أخرى.
وفي الختام قال الدكتور سليمان الماجد إن المريض تعافى بشكل ملحوظ وخرج من المستشفى بعد 48 ساعة من الإجراء العلاجي الأخير وهو بخير حال وعاد لممارسة حياته بصورة طبيعية وقد انتهت لديه كافة الأعراض السابق ذكرها.