بفضل الله أعاد فريق جراحة العظام بمستشفى د. سليمان الحبيب بالقصيم، القدرة على الحركة مجدداً، لسيدة في العقد الرابع ظلت مقعدة لمدة عام، نتيجة تعرضها للسقوط وإصابتها بكسور في عظام الفخذ، وقد حاولت العلاج في أكثر من مستشفى وأجرت خلال هذه الفترة 3 عمليات لإصلاح الكسر المتكرر، ولكن لم يحدث التحام للعظم أو معرفة السبب حسب شكواها المرضية.
ذكر ذلك الدكتور عامر عبدالله استشاري جراحة العظام والمفاصل الصناعية الحاصل على الزمالة الكندية، والذي أضاف بأن المريضة أتت محولة من مستشفى آخر وفور وصولها مستشفى د. سليمان الحبيب بالقصيم، تم فحصها سريرياً والاطلاع على كافة التقارير الطبية السابقة، بالإضافة إلى إجراء عدد من الفحوصات المخبرية الدقيقة والأشعة الرقمية (X-RAYS).
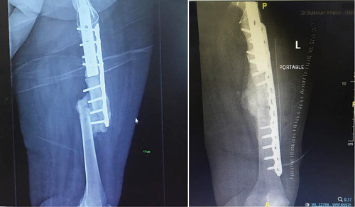
وأوضح د.عامر أن نتائج التحاليل المخبرية كشفت سبب عدم التحام العظم، إذ إن المريضة كانت تعاني من ضُعف شديد في كثافة العظام منذ الصغر، كما أوضحت فحوصات الأشعة وجود التحام خاطىء للعظام بشكل غير متساوي، بالإضافة إلى تسبب العمليات السابقة في حدوث قصر في طول الساق بمقدار 5 سم، وكذلك عدم إمكانية ثني الركبة نهائياً.
وعن الخطة العلاجية قال الدكتور عامر إن الفريق الطبي قام بدراسة الحالة الصحية للمريضة جيداً، وقرر التدخل الجراحي عبر عملية استغرقت 3 ساعات تحت التخدير العام، وتم فيها ترميم الكسر عن طريق زراعة عظم لتحفيز عملية الالتحام، وفي ذات الوقت تم إصلاح طول الساق وإرجاعها لوضعها الطبيعي، علاوة على إعادة الحركة لثني الركبة مجدداً من خلال تحرير العضلات الملتصقة في منطقة الكسر.
وفي ختام حديثه قال الدكتور عامر عبدالله إن جهود الفريق الطبي تكللت بالنجاح ولله الحمد، حيث أن المريضة حولت لجناح التنويم لمدة 4 أيام، وخضعت لفحص إضافي بالأشعة السينية للتأكد من نتائج العملية، وقد أظهرت الصور الشعاعية استقامة تامة في عظم الفخذ، مع إصلاح قصر الساق الناتج عن الجراحات السابقة باستعادة الطول بشكل كامل.