تمكن استشاريو مركز طب وجراحة المخ والأعصاب والعمود الفقري، بالمجمع الطبي بالعليا التابع لمجموعة د. سليمان الحبيب، من اكتشاف إصابة مريض في العقد السادس من العمر بورم خطير في مراكز حساسة بالمخ. حيث كان المريض يعاني من آلام وتشنجات حادة وصداع في الرأس وضعف في درجة الوعي نتيجة وجود هذا الورم.
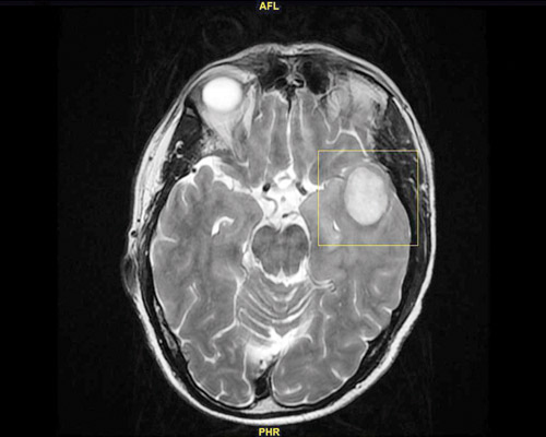
هذا ما أوضحه الدكتور هاني عبد العزيز استشاري جراحة المخ والأعصاب، والذي أضاف أن المريض وصل المستشفى في حالة متأخرة وبعد أن تمكن منه المرض، حيث تم إخضاعه للفحوصات المخبرية الدقيقة والأشعة بالرنين مغناطيسي (M.R.I.)، وقد أبانت النتائج وجود ورم في الفص الصدغي مسبباً إزاحة وضغط كبير على مراكز النطق بالمخ.
على أثر ذلك قام الفريق الطبي بدراسة نتائج الفحوصات ووضع المريض الصحي جيداً، لافتاً إلى أن العملية تعد واحدة من الجراحات الدقيقة جداً والتي استغرقت 8 ساعات متواصلة، حيث تم استخدام تقنية الميكروسكوب الجراحي المتطور (Pentero)، وجهاز (Sonopet) الذي يعمل على استئصال الأورام في المناطق بالغة الحساسية وتفتيتها دون التأثير على الأنسجة الحيوية بالمخ الملاصقة للورم.
وقد تكللت الجهود بنجاح كبير - ولله الحمد - دون أية مضاعفات ، حيث تم معاينة المريض بعد 24 ساعة وإجراء فحص كامل للجهاز العصبي وتبين وجود تحسن كبير في حالته الصحية، وعدم تأثر وظائف الدماغ نهائياً وبخاصة النطق، كما انتهت لديه كافة الآلام والأعراض السابق ذكرها، وفي اليوم الخامس خرج من المستشفى وهو بصحة ممتازة ولله الحمد.
وفي الختام نصح الدكتور هاني المرضى الذين يعانون من الأعراض المشابهة، أهمية مراجعة المستشفيات ذات الإمكانات العالية والمتقدمة، مؤكداً أن مثل هذه العمليات تحتاج إلى مهارة جراحية عالية وخبرة طويلة، مع توافر التقنيات الطبية الحديثة لضمان الحصول على أفضل النتائج العلاجية.