خالد المشاري - «الجزيرة»:
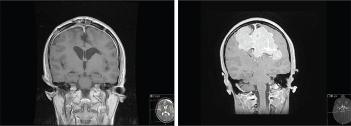
تمكَّن مستشفى الملك فيصل التخصصي ومركز الأبحاث بالرياض من إجراء عملية نوعية لاستئصال ورم وعائي دموي من الأنسجة الرخوة في الرأس من الدرجة الثانية لفتاة في الثلاثين من عمرها بقيادة نائب مدير مركز العلوم العصبية واستشاري جراحة المخ والأعصاب الدكتور حمود الدهش.
وأوضح د. الدهش أن المريضة كانت تشكو من صداع حاد وعدم قدرة على التركيز وضعف عام، حيث لجأت لعدة مراكز صحية بحثاً عن سببٍ لهذه الأعراض، حتى تم تشخيصها بوجود ورمٍ كبير في الرأس يستدعي تدخلاً جراحياً في مركزٍ متخصص، وتم تحويل المريضة إلى مركز العلوم العصبية التابع للمؤسسة العامة لمستشفى الملك فيصل التخصصي ومركز الأبحاث بالرياض، لإجراء المزيد من الفحوصات الدقيقة.
وأضاف أنه بعد إتمام الفحوصات والأشعة التشخيصية كافة في وقتٍ قياسي، تم تحليل الورم بشكلٍ دقيق واتضح أنه من الأورام التي تنشأ غالباً في جدران الشعيرات الدموية، ولا يتسبب بظهور أي أعراض أو علامات مَرضية في مراحله المبكرة، بل يتفاقم ويزداد سوءاً بزيادة حجمه وتأثيره على المناطق المجاورة له، كما يَصعب تشخيصه نظراً لاحتمالية عدم تمييزه عن أنواع أخرى من الأورام.
ووصف الدكتور أن التدخل الجراحي لاستئصال هذا الورم يُعد أمراً ليس بالسهل نظراً لحجمه الكبير ولوجوده بالقرب من منطقة حساسة جداً في الدماغ، مما يزيد من نسبة تعرض المريضة لمخاطر محتملة، كما أن النزيف من الورم يُعيق استئصاله بشكلٍ كامل نظراً لطبيعة الورم الدموية الأمر الذي يُعرض المريضة إلى نقل دم بكميات كبيرة، مما يُقلل من نسبة نجاح العملية الجراحية باستئصال الورم خلال عملية واحدة بدون مضاعفات التي تتراوح ما بين 40 - 50 %.
وطمأن الدهش أنه بعد إنهاء العملية التي استغرقت 14 ساعة، والتي تكللت بالنجاح حيث تم استئصال الورم كاملاً، وخروج المريضة إلى منزلها بعد مرور أربعة أيام من خضوعها للجراحة دون مضاعفات تُذكر وبصحة جيدة من فضل الله، مما يؤكد على أهمية التدخل الجراحي المبكر والمُوصى به لمثل هذه الحالات.
وختم الدهش حديثه بتقديم الشكر للإدارة الطبية العليا ولزملائه كافة في مركز العلوم العصبية والعناية الحرجة وقسم الأشعة التداخلية بالمستشفى، مشيداً بأن هذا النجاح نتيجة للدعم المستمر الذي يقدمه «التخصصي» لتسهيل وتيسير وصول المرضى للخدمة الصحية المطلوبة في وقتٍ قياسي، مما يؤكد على تميز وريادة «التخصصي» في مجال العلوم العصبية على المستوى المحلي والعربي.