بفضل الله تمكن فريق طبي بمستشفى د. سليمان الحبيب بالسويدي من إجراء عملية زراعة كلى لـ»ستيني» كان يداوم على الغسيل الكلوي لثلاث مرات في الأسبوع، واكتنفت حالته الكثير من التعقيدات الصحية والجراحية الحادة، التي وقفت حائلاً أمام محاولاته السابقة للزراعة ووضع حد لمعاناته المستمرة.
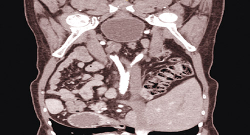
وقال د. عزام إبراهيم السعيد طبيب أمراض الكلى، أن المريض كان يعاني من الفشل الكلوي ويعيش على الغسيل منذ 2019م، وكانت حالته معقدة جداً، إذ إنه مصاب بأمراض مزمنة عدة كارتفاع ضغط الدم والسكري، بالإضافة لتاريخ مرضي فيه التهاب وجلطة في القلب، وأجريت له حزمة فحوصات مكثفة ودقيقة للدم، والكشف على كل أجهزة الجسم، وقياس المناعة والتجانس والتطابق في الأنسجة، وخضع أيضاً لأشعة مكثفة للبطن والأوعية الدموية في منطقة الحوض والقلب، بالإضافة إلى فحوصات أخرى دقيقة للمتبرع.
وأضاف د. عزام أن الفريق الطبي قسم الخطة العلاجية إلى جزءين وركز في الأول على علاج مشاكل القلب والجلطات وتكثيف عمليات الغسيل، لمدة «6» أشهر، وتحسنت خلالها الحالة الصحية له، فقام الفريق الطبي الذي ضم طيفاً واسعاً من التخصصات، بإعادة تقييم وفحص التحاليل والصور الطبية، ودراسة ملف الحالة، لمعرفة ملاءمة المريض الطبية والجراحية للزراعة، وخلص إلى أنه لم يعد هناك مانع صريح لعملية زراعة الكلى، فتم وضع خطة علاجية متكاملة، واطلاع المريض وذويه على تفاصيلها كافة، ومن ثم تم إخضاع المريض والمتبرع لعمليتين استمرتا نحو «6» ساعات، ومضتا -ولله الحمد- بسلاسة تامة، وكللتا في النهاية بالنجاح الكامل، حيث استجابت الكلية المزروعة بشكل فوري و»تبول» المريض وهو لا يزال في غرفة العمليات، وفوق ذلك فإن تحاليل ما بعد العملية بينت تناقصاً لافتاً وتدريجياً في سموم الكلى، ولم يحتاج إلى الغسيل مطلقاً بعد الزراعة وقد خرجت المتبرعة بعد «3» أيام من العملية التي تمت عن طريق المنظار وهي بحالة جيدة ودون مضاعفات، وتابع د. عزام قائلاً إن العملية كانت من أكثر عمليات زراعة الكلى تعقيداً، وهو ما دفع أكثر من مستشفى ومركز متخصص بارز إلى رفض إجرائها، فبالإضافة إلى الإشكالات التي أشرنا لها، تبين أن المريض أيضاً يعاني من جلطات في الناحية اليمنى التي عادة يتم فيها زراعة الكلية، كما ظهرت تعقيدات تقنية خاصة بالمتبرع حالت دون تمكن الفريق الطبي من أخذ الكلية اليسرى، فتم استئصال اليمنى وزراعتها في الجهة اليسرى لمنطقة الحوض.
ويحظى مستشفى د. سليمان الحبيب بالسويدي بسجلٍ حافل من الجوائز والشهادات المحلية والعالمية، حيث حصل على شهادة اللجنة الدولية لاعتماد المستشفيات JCI، واعتماد المركز السعودي لاعتماد المنشآت الصحية CBAHI، إضافة إلى اعتماد الجمعية الأمريكية لعلم الأمراض CAP، وكذلك جائزة الجودة الذهبية من المنظمة العالمية للعناية بالمرضى PLANETREE، والجائزة الوطنية لسلامة المرضى، علاوة على اعتماد الجمعية الأمريكية لنظم إدارة معلومات الرعاية الصحية.