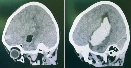
تمكن فريق طبي بمستشفى د. سليمان الحبيب بالقصيم من إجراء جراحة نادرة استمرت لنحو «7» ساعات، لطفل يبلغ من العمر «3 أعوام» يعاني من نزيف حاد بالفص الأيسر من الدماغ، نتيجة إصابته بمرض التشوه الشرياني الوريدي الدماغي «AVM».
وقال د. ناجي مسعود استشاري جراحة المخ والأعصاب، رئيس الفريق الطبي المعالج، إن الطفل جاء محولاً من أحد المستشفيات إلى الطوارئ، وهو على أجهزة التنفس الصناعي وفي حالة غيبوبة كاملة، ويعاني من توسع في حلقة العين اليسرى، وبمجرد وصوله للمستشفى أخضع لفحوصات دقيقة عدة من بينها التصوير الإشعاعي، الذي أظهر إصابته بمرض «التشوه الشرياني الوريدي الدماغي» النادر، مسبباً له نزيفاً حاداً بالفص الأيسر من المخ، إثر ذلك تدارس الفريق الطبي ملف الطفل على ضوء المعطيات التي وفرتها نتائج التشخيص، وأجمع الفريق الطبي على أن السبيل الأمثل لإنقاذه هو التدخل الجراحي على الفور.
وأضاف د. ناجي أنه تم شرح الخطة العلاجية لوالدي الطفل، ومن ثم أجريت له جراحة ناجحة استغرقت سبع ساعات تم خلالها استئصال التشوهات وسحب النزيف. ومكث الطفل في العناية المركزة لأيام عدة، محاطاً بالرعاية والاهتمام اللازم إلى أن بدأت حالته في التحسن التدريجي واستعاد وعيه وأصبح قادراً على تحريك أطرافه، وبعدها نقل لقسم التنويم وظل تحت المراقبة لمدة أسبوع، حتى استعاد كامل قدراته الذهنية والبدنية بنسبة «99 %»، إذ تخلص من كل الأعراض السابق ذكرها، وهذا ما أكدته صور الأشعة. وبعد أيام عدة خرج من المستشفى -ولله الحمد- بعد أن تحسنت حالته الصحية تماماً.
ووصف د. مسعود العملية بالنادرة والمعقدة وقال إنها تجرى لأول مرة في منطقة القصيم، مشيراً إلى أن هذا النوع من العمليات يجب أن لا يجرى إلا على أيدي فريق طبي محترف يحظى بالخبرة والكفاءة، وفي المستشفيات الكبيرة المجهزة بأحدث الأجهزة الطبية.