نجح فريق جراحة العظام واستبدال المفاصل بمستشفى د. سليمان الحبيب بالقصيم، في إنهاء معاناة مريض سبعيني كان يشكو من آلام شديدة بالكتف لسنوات، الأمر الذي أفقده القدرة على أداء مهام يومه الاعتيادية.
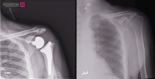
وقال رئيس الفريق الطبي إن المريض حاول العلاج بأكثر من مستشفى في منطقة القصيم ولكن دون جدوى أو حل لمشكلته الصحية، وقام بعد ذلك بزيارة عيادة جراحة العظام بالمستشفى ، حيث تم إخضاعه لفحوصات مخبرية وبأشعة الرنين المغناطيسي (M.R.I.)، وقد أبانت النتائج وجود تمزقات وتهتكات حادة في أوتار الكتف لا يمكن ترميمها أو إصلاحها.
وأشار رئيس الفريق الطبي إلى أنه بعد دراسة نتائج الفحوصات والتاريخ المرضي، تم اتخاذ القرار بإجراء عملية جراحية لزراعة مفصل صناعي «معكوس» للكتف ، موضحاً أن هذه العملية استغرقت 5 ساعات وهي الأولى من نوعها بمنطقة القصيم وتعد من الجراحات المعقدة، وتم فيها تنظيف محيط المفصل القديم من التكلسات والزوائد العظمية المسببة للاحتكاكات، ومن ثم تركيب المفصل الصناعي الجديد المصنوع من مادة الكوبلات والكروم، والذي يتميز بجودته العالية ويساعد في تحقيق المرونة الكاملة للمفصل ومجال أكبر من الحركة والأريحية.
وقال رئيس الفريق الطبي بالمستشفى إن الجهود المبذولة تكللت بالنجاح ولله الحمد، وتم نقل المريض بعد الجراحة إلى جناح التنويم. وبعد ذلك تم البدء في تطبيق برنامج العلاج الطبيعي المكثف ، ومن ثم عاد المريض إلى منزلة بعد 5 أيام وهو بصحة جيدة ، وقد انتهت لديه الآلام السابق ذكرها ، وبدأ يمارس حياته بصورة طبيعية بعد أن استعاد كامل مرونة وحركة المفصل.