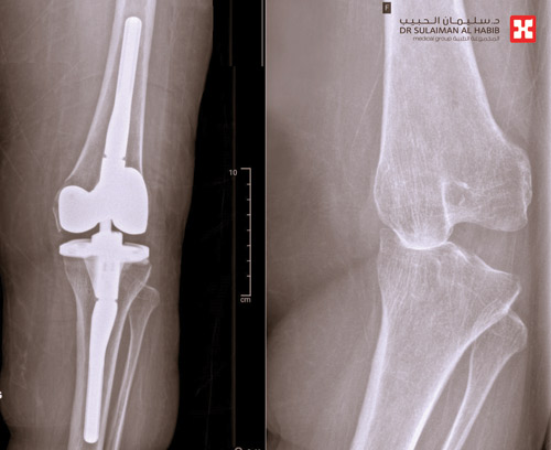
نجح مستشفى الدكتور سليمان الحبيب بالقصيم بفضل الله عز وجل عبر فريق طبي متخصص في زراعة المفاصل، بإجراء عملية لتركيب مفصل صناعي بالركبة اليسرى لمريضة في العقد السادس من عمرها استعادت بعدها القدرة على المشي. ذكر ذلك الدكتور علاء محمد حمدان استشاري جراحة العظام والمفاصل رئيس الفريق الطبي المعالج. الذي أضاف بأن المريضة وصلت للعيادة على كرسي متحرك ولا تستطيع المشي، وعند سماع شكواها وتاريخها المرضي، تبين أنها تعاني من شلل أطفال كامل منذ الصغر في الطرف السفلي الأيمن وشلل جزئي بالطرف الأيسر. وأشار إلى أن الفحص السريري للمريضة أبان عدم قدرتها على الوقوف نهائياً، وأنها كانت قبل 10 سنوات مضت تسعى للمشي والحركة من خلال الضغط على الجهة اليسرى ولم تستطع ذلك، مع العلم بأن لديها جهازاً خاصاً مثبتٌ في الركبة اليمنى للمساعدة في عملية التوازن. وقد تم إخضاع المريضة لعدد من الفحوصات بالأشعة السينية الرقمية (Digital X-rays) والتحاليل المخبرية ، وقد أوضحت النتائج بدقة وجود احتكاك شديد جداً في الركبة اليسرى من الدرجة الرابعة مع ارتخاء بالأربطة وعدم الثبات.
وبعد اطلاع الفريق الطبي المعالج على كامل النتائج والفحوصات، قرر التدخل الجراحي لعلاج المريضة، مشيراً إلى أن العملية استغرقت ساعتين تحت التخدير الكلي، وتم فيها إزالة مفصل الركبة الأيسر القديم واستبداله بآخر متطور، يتيح الحركة للمريضة بشكل جيد وبثبات عالٍ.
وقال الدكتور حمدان إن جهود الفريق الطبي تكللت بالنجاح التام ولله الحمد دون حدوث أية مضاعفات، إذ نقلت المريضة لجناح التنويم واستطاعت الوقوف منذ اليوم الأول. مفيداً بأنها خرجت من المستشفى في اليوم الرابع عقب العملية وهي بصحة ممتازة، وعادت إليها قدرة الوقوف والمشي مجدداً وأصبحت تمارس مهامها اليومية، كما تم إخضاعها لبرنامج علاج طبيعي تأهيلي لمدة شهرين.