بفضل من الله- أعاد مستشفى الدكتور سليمان الحبيب بالقصيم، القدرة على الحركة لامرأة «ستينية» مقعدة منذ منذ نحو «18» شهراً، بسبب مضاعفات عملية تثبيت كسر في عظم أسفل الفخذ، كانت قد أجرتها في مستشفى آخر، ذكر ذلك د.علاء محمد حمدان استشاري جراحة العظام، رئيس الفريق الطبي المعالج.
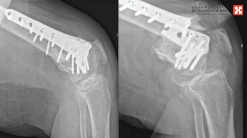
وقال د.علاء إن المريضة راجعت المستشفى وهي على كرسي متحرك بسبب عدم قدرتها على المشي على قدميها، إضافة إلى أنها كانت تعاني منذ العملية الأولى من آلام مستمرة في موضع الكسر، وفور وصولها خضعت للكشف السريري ثم الأشعة السينية والرنين المغناطيسي والأشعة المقطعية، فضلاً عن اختبارات الدم لتحديد ما إذا كان عدم التئام الكسر ناتجاً عن إصابتها بعدوى، وأوضحت نتائج التشخيص مدى عدم الالتئام وانكسار الشريحة المعدنية.
وتابع د.علاء قائلاً إن الفريق الطبي بحث في خيارات علاج الحالة على ضوء نتائج الفحوصات، وإنتهى إلى أن الجراحة هي التدخل العلاجي المناسب، وبالفعل وبعد اتخاذ التدابير اللازمة أجريت للمريضة عملية تم فيها، أولاً إزالة الشريحة المكسورة واستبدالها بأخرى، ومن ثم تثبيت الكسر بشكل قوي وسليم، ومضت العملية التي استمرت لـ» ساعتين» بسلاسة، ووفقاً للخطة العلاجية وانتهت ولله الحمد بالنجاح التام، وتم تحويل المريضة مباشرة إلى جناح التنويم، حيث أمضت منومة لمدة «3 أيام» قبل أن تغادر المستشفى بحالة صحية جيدة ولاحقاً تخلصت من كافة الأعراض التي عانت منها لمدة عام ونصف العام، ثم استعادت قدرتها على المشي على قدميها، وعادت لممارسة حياتها بصورة طبيعية.