نجح مستشفى الدكتور سليمان الحبيب بالريان، في إجراء عملية دقيقة لاستئصال ورم بالدماغ، لإنهاء معاناة مريضة في العقد الرابع من العمر، تشكو من فقدان النظر بالعين اليسرى والصداع المتكرر، مع تناقص مستمر في مستوى الإبصار بالعين اليمنى. ذكر ذلك الدكتور ديفيد برو استشاري جراحة المخ والأعصاب والعمود الفقري، رئيس الفريق الطبي المعالج.
وأضاف د. برو أن المريضة تشكو من الصداع المستمر وتدهور حدة الإبصار آخر 6 أشهر ممّا أثر على ممارسة حياتها اليومية. وقد راجعت عدداً من المراكز الطبية طلبًا للعلاج لكن دون جدوى.
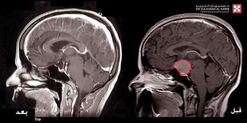
وقال إن الفحوصات التي أجريت للمريضة كشفت عن وجود ورم بقطر (3) سم متمركز في قاع الجمجمة بمنتصف الدماغ، ويضغط بشدة على عصبي البصر والغدة النخامية المسؤولة عن الهرمونات بالجسم. وقد قرر الفريق الطبي إجراء تدخل جراحي عاجل لاستئصال الورم. وذلك للحيلولة دون إصابة المريضة بمزيد من المضاعفات الخطيرة أبرزها فقدان البصر بشكل كامل، إضافة إلى ازدياد حدة الأعراض وحدوث خلل بهرمونات الجسم.
وقد أجريت للمريضة عملية جراحية دقيقة استغرقت 8 ساعات متواصلة تحت التخدير الكامل، باستخدام الميكروسكوب المتطور (Pentero)، وتم تحرير الورم من التصاقاته بالعصب البصري والغدة النخامية واستئصاله بالكامل.
وقد تكللت جهود الفريق الطبي بالنجاح ولله الحمد. وقد أبانت المؤشرات الحيوية للمريضة في الساعات الأولى بعد العملية تحسناً كبيراً في حالتها الصحية، واستكمل علاجها بإعطائها الأدوية اللازمة لضبط نسب الهرمونات بالجسم. وغادرت المريضة المستشفى في اليوم السابع بعد العملية، وقد انتهت معاناتها من الصداع المستمر وتحسنت لديها الرؤية.