أنقذ مستشفى الدكتور سليمان الحبيب بالصحافة بفضل الله حياة مريض في السبعين من العمر مصاب بجلطة وريدية عميقة أدت إلى انسداد شريان رئيسي بالدماغ سبب مجموعة من الأعراض الحادة للمريض، وذلك عبر تدخل طبي متقدِّم دون فتح جراحي باستخدام الأشعة التداخلية، ذكرت ذلك د. فرح العيسى استشارية المخ والأعصاب والأشعة التداخلية رئيسة الفريق الطبي المعالج.
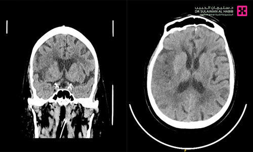
وأضافت أن المريض وصل إلى طوارئ المستشفى عبر الهلال الأحمر بعد ما أصيب بشكل مفاجئ بعدة أعراض حادة في مقدمتها شلل نصفي وصعوبة في النطق إضافة إلى أعراض أخرى أخف وطأة، وقام الفريق الطبي بالطوارئ بتقديم العلاجات الإسعافية اللازمة، ومن ثم أجريت له فحوصات طبية دقيقة، حيث تم عمل أشعة مقطعية للدماغ والشرايين، وأظهرت النتائج وجود انسداد في شريان رئيسي بالدماغ. وبناءً على ذلك تم تفعيل مسار الجلطات الدماغية، واستدعاء الفريق الطبي المختص بالأشعة التداخلية، الذي قام بشكل عاجل باتخاذ كافة الترتيبات المتعلقة بسحب الجلطة الدماغية Mechanical Thrombectomy، وبالفعل أُجريت للمريض عملية عن طريق فتحة صغيرة في شريان الفخذ الأيمن تحت التخدير الكامل، وتم سحب الجلطة بدقة عالية، وإعادة التروية للمنطقة المتأثرة من الدماغ، دون حدوث أي مضاعفات. وقالت د. العيسى إن جهود الفريق الطبي تكلَّلت بالنجاح التام ولله الحمد، ونُقل المريض وهو بحالة مستقرة إلى العناية المركزة للمتابعة لمدة 24 ساعة، قبل أن يتم تحويله إلى غرفة التنويم، وتحسنت حالته الصحية باطراد، حيث تراجعت حدة الأعراض لديه بنسبة تفوق 80 % وغادر المستشفى لاحقاً وهو بحالة صحية جيدة، وبيّنت د. العيسى أن كافة المعطيات الطبية تشير إلى أن حالته ستتحسن أكثر بشكل تدريجي مع برنامج العلاج الطبيعي.
وأوضحت د. فرح أن الفريق الطبي اكتشف سبب السكتة الدماغية عبر جهاز متابعة نبضات القلب، حيث أظهرت هذه التقنية اضطراباً في نظم القلب، وتم التعامل مع هذه المعضلة الصحية بنجاح بالأدوية المسيلة للدم. وتابعت قائلة إن التخثر الوريدي العميق من الحالات التي يصعب التعافي منها بشكل كلي، وينتج عنه مضاعفات مثل النزيف ونوبات الصرع والشلل الحركي، وقد نجح التدخل عبر الأشعة التداخلية في تجنيب المريض - بفضل الله - هذه المضاعفات الخطيرة.