نجح مستشفى الدكتور سليمان الحبيب بالقصيم في إجراء عملية دقيقة ومتقدمة في القولون، باستخدام تقنيات الأشعة التداخلية، لمريضة في العقد السابع من العمر كانت تعاني لمدة 8 أشهر من مشاكل صحية عديدة، إضافة إلى تعرضها لنزيف سفلي (شرجي) حاد، ذكر ذلك الدكتور عبدالعزيز الغراس استشاري قسطرة الأوعية الدموية والأشعة التداخلية رئيس الفريق الطبي المعالج.
وأضاف أن المريضة كانت تعاني من الشعور بالإرهاق المستمر وعدم القدرة على أداء مهامها الاعتيادية، وقد سبق أن أجرت عملية قسطرة قلبية، كما أنها تعتمد بصورة يومية على الأدوية المسيلة للدم دون القدرة على إيقافها.
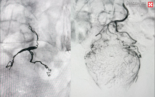
وأوضح د. الغراس أنه تم على الفور إخضاع المريضة لعدد من الفحوصات الطبية الدقيقة والتحاليل المخبرية قبل تحويلها مباشرة إلى قسم العناية المركزة، وقد كشفت نتائج الفحوصات الطبية عن وجود نزيف حاد في شرايين القولون والبواسير وتدنٍ شديد في نسب هيموجلبين الدم حيث وصلت إلى (6) علماً بأن النسبة الطبيعية هي (12)، وهو ما يفسر شعورها بالإرهاق والتعب الدائم. وأضاف أنه تم تكوين فريق طبي من استشاريي الأشعة التداخلية والقلب والعناية المركزة، وعقب دراسة كافة النتائج قرر الفريق إجراء عملية للمريضة باستخدام تقنيات الأشعة التداخلية لإيقاف النزيف بعد تقديم وحدات دم وريدية. وقد استغرقت العملية ساعة ونصف الساعة تحت التخدير الجزئي، وتم فيها استخدام أدوات طبية خاصة للسيطرة على النزيف وإيقافه بشكل تام. وبعد العملية نقلت المريضة إلى العناية المركزة لمدة 24 ساعة، وبعد ذلك تم تحويلها إلى جناح التنويم، وفي اليوم التالي خرجت من المستشفى وهي بصحة جيدة.