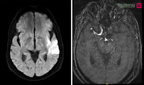
شَهِد مستشفى الدكتور سليمان الحبيب بالصحافة، إنقاذ حياة رجل في العقد السادس من العمر، مصاب بانسداد في الشريان السباتي، وعانى من أعراض حادة، وتمكن فريق طبي متخصص بالمستشفى من إزالة الخثرة، عبر تقنية القسطرة التداخلية دون فتح جراحي، وإعادة حركة الدم إلى وضعها الطبيعي. ذكرت ذلك د. فرح العيسى استشارية المخ والأعصاب والأشعة التداخلية، رئيسة الفريق الطبي المعالج. وقالت د. العيسى إن المريض أسعف إلى المستشفى بعدما أصيب بشكل مفاجئ بشلل نصفي تام، وتدن في الإدراك والفهم، وعدم القدرة على التواصل مع الآخرين وصعوبات في النطق، وعلى الفور أجريت له فحوصات دقيقة للتأكد مما إذا كان المراجع مصاباً بالسكتة الدماغية أو مشكلات أخرى.
وأضافت أن النتائج أظهرت وجود انسداد بالشريان، وأكد الفريق الطبي على أهمية التدخل العاجل عبر تقنية القسطرة التداخلية، لمحاصرة التبعات ومنع تطورها إلى السكتة الدماغية، حيث تمت إزالة انسداد الشريان السباتي باستخدام قسطرة دقيقة مثبت بطرفها أنبوب صغير، استُخدم لفتح الشريان المنغلق بقاع الجمجمة وتوسيعه، ومن ثم زراعة دعامة دائمة في المنطقة المتضررة للحيلولة دون حدوث الانسداد مرة أخرى، مؤكدة أن التدخل العلاجي تكلل بالنجاح التام، حيث نُقِل المريض بعلامات حيوية مستقرة إلى وحدة العناية المركزة وبقى قيد المراقبة الطبية لمدة «24» ساعة، وتحسنت حالته بعد العملية مباشرة، حيث استعاد القدرة على الحركة، والمشي بدون مساعدة، كما تحسنت قدرته على الكلام والتواصل مع الآخرين، بالإضافة إلى أن مستوى الفهم والإدراك ارتفع إلى «70 %»، وفي اليوم التالي للتدخل الطبي أعيد فحصه بالأشعة فأظهرت النتائج عودة حركة الدم عبر الشريان إلى طبيعتها، كما تبين أن السبب الأساسي للإصابة تعود إلى عدم انتظام ضربات القلب. وأوضحت د. العيسى أن المريض غادر إلى منزله بحالة صحية جيدة، لكنه سيخضع لبرنامج علاج تأهيلي، مشيرة إلى أن نجاح العملية جنبه الكثير من التبعات الصحية الوخيمة.