شهد مستشفى الدكتور سليمان الحبيب بالقصيم، إجراء عملية معقدة لإنقاذ مريض يبلغ من العمر 66 عاماً، وصل إلى قسم الطوارئ بالمستشفى عبر سيارة الإسعاف وهو يعاني من مجموعة من الأعراض الحادة أبرزها الانخفاض الشديد في مستوى الوعي، والشعور بالصداع المستمر والإرهاق العام بالجسم، وخلل في حركة العينين، الأمر الذي أفقده القدرة على أداء مهامه اليومية. ذكر ذلك الدكتور بهاء الدين استشاري جراحة المخ والأعصاب والعمود الفقري رئيس الفريق الطبي المعالج.
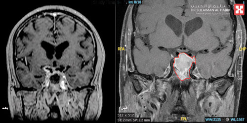
وأفاد بأنه بناء على وضع المريض الصحي فقد تم تحويله إلى وحدة العناية المركزة، وأجريت له مجموعة من الفحوصات والتحاليل كشفت عن وجود «ورم غدي نخامي» متمركز في قاع الجمجمة بطول 3 سم ونصف ضاغط على الغدة النخامية والعصب البصري من الجهتين؛ الأمر الذي أثر على حركة العينين، وكذلك المنطقة الجانبية (الجيب الكهفي الدماغي) الذي يحوي الشرايين الرئيسية المغذية للدماغ، كما بينت نتائج التحاليل أن القصور الشديد في عمل الغدة النخامية نتج عنه خلل بنسبة صوديوم الدم، بالإضافة إلى حدوث اضطرابات في أملاح الدم وكذلك نقص في نسب الهرمونات بالجسم وخاصة هرمون الكورتيزون.
وقال الدكتور بهاء إنه تم تكوين فريق طبي من استشاري الأنف والأذن والحنجرة والغدد الصماء والعناية المركزة والتخدير، وعقب دراستهم لمعطيات النتائج أوصوا بضرورة التدخل الجراحي السريع، وذلك للحيلولة دون إصابة المريض بمزيد من الأعراض التي قد تؤثر على حياته. وتم البدء في إعطاء المريض الأدوية لإعادة نسب الهرمونات إلى طبيعتها، وبعدها أجريت له عملية جراحية دقيقة استغرقت 6 ساعات متواصلة تحت التخدير العام، واستخدم الفريق تقنيات المنظار والملاحة العصبية، وكذلك تطبيق تكنيك جراحي يُعرف باسم «الأيادي الأربعة» لتفادي عمل فتح جراحي بالجمجمة، وتم الوصول لمكان الورم عبر فتحة الأنف وتحريره واستئصاله بالكامل - ولله الحمد - دون أية مضاعفات مع الحفاظ على لوظائف الغدة النخامية، ونقل بعدها المريض إلى العناية المركزة.
وأكد الدكتور بهاء الدين أن جهود الفريق الطبي تكللت بالنجاح التام -ولله الحمد-، إذ تبين تحسن مؤشرات المريض الحيوية منذ الساعات الأولى للعملية، وخرج من العناية بعد 4 أيام، ونقل إلى جناح التنويم، وقد تحسن مستوى الوعي، وخرج من المستشفى في اليوم السابع وهو بصحة جيدة.