Saturday 19th april,2003    11160العدد السبت 17 ,صفر 1424

أول صحيفة سعودية تصدرعلى شبكة الانترنت


علي

هاجـد

المــاضي

عبدالله المــرزوق

رشيد ا لسـليم

البحث يالارشيف

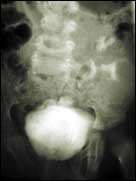
إلتهاب المثانة

يعتبر التهاب المثانة المتكرر وزيادة نسبة الخلايا الصديدية في البول من الاعراض الاكلينيكية والعملية التي تستحق الدراسة حيث ثبت علميا بان يرجع ذلك الى و.........

التفاصيل

الالتهاب الرئوى الغامض «سارس»

بداية المرض ومصدره
تم معرفة هذا المرض في منتصف شهر فبراير2003 وقد أظهر مسؤولو وزارة الصحة بهونج كونج أن هذا المرض الغامض قد بدأ في جنوب الصين ثم انتشر إلى مختلف الدول عن.........

التفاصيل

الضعف السمعي عند الأطفال

إن الضعف السمعي لدى الطفل كلما حدث مبكراً كلما كان له أكبر الأثر على اكتسابه لمهارات اللغة والكلام حتى ولو كان هذا الضعف مجرد ضعف بسيط.
وحيث ان الاحصاءات العالمية تؤكد بأنه يوجد طفل من كل 1000 طفل حديث الولادة يعاني من ضعف في السمع بينما ترتفع هذه النسبة لتصل الى 5% من الأطفال في سن ال.........

التفاصيل

آلام العمود الفقري.. الوقاية والعلاج

يعتبر ألم العمود الفقري سواء الألم أسفل الظهر او في منطقة الرقبة من أكثر الأمراض شيوعاً في مجتمعنا فبعض هذه الآلام قد يكون حميداً ويكون دائماً نتيجة ل.........

التفاصيل

التهابات اللوزتين

من أكثر الالتهابات شيوعاً عند الأطفال التهابات اللوزتين.
وهناك فارق بين التهاب اللوزتين والتهابات الحلق، فالتهابات الحلق قد تكون فيروسية مثل فيروس الانفلونزا والبارانفلونزا والادينوفيدس وغيرها، وقد تكون بكتي.........

التفاصيل
 

الصفحة الرئيسية

رأي الجزيرة


الاولــى


محليــات


الاقتصادية


الريـاضيـة


مقـالات


المجتمـع


استراحة


الثقافية


دوليات


متابعة


حدود الوطن


منوعـات


شعر


الرأي


عزيزتـي الجزيرة


صحافة العالم


الطبية


زمان الجزيرة


الاخيــرة

 
 

[للاتصال بنا] [الإعلانات] [الاشتراكات] [الأرشيف] [الجزيرة]
توجه جميع المراسلات التحريرية والصحفية الى chief@al-jazirah.com عناية رئيس التحرير
توجه جميع المراسلات الفنية الى admin@al-jazirah.com عناية مدير وحدة الانترنت
Copyright, 1997 - 2002 Al-janirah Corporation. All rights reserved