Saturday 26th july,2003    11258العدد السبت 26 ,جمادى الاولى 1424

أول صحيفة سعودية تصدرعلى شبكة الانترنت


هاجـد

المــاضي

عبدالله المــرزوق

البحث يالارشيف

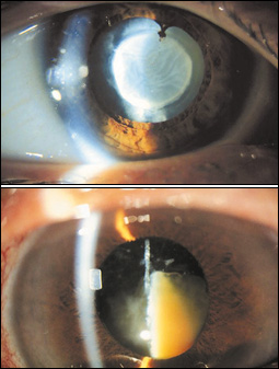
توجد العدسة البللورية في الحجرة الخلفية من المقلة وتكون متصلة بنتوءات طويلة تمسك زمام العدسة
د. محسن جابر ( * )

ما هي تركيبة العدسة البللورية وما مكانها في المقلة؟
تتكون من آليات بروتينية معينة وتأخذ اشكالاً وتوزيع خاص شبه مستدير أو في اتجاهات دورانية وتتميز أشكال خلايا هذه الآليات بأنها مستطيلة ومضغوطة في الشكل.........

التفاصيل

معلومات مهمة عن مرض المياه الزرقاء

المياه الزرقاء أو الجلوكوما هي مرض يصيب العين ناتج عن حدوث ارتفاع في ضغط العين بدرجة تؤدي إلى تأثر تركيب ووظيفة أنسجة العين مما يترتب عليه تأثير النظر.........

التفاصيل
 

الصفحة الرئيسية

رأي الجزيرة


الاولــى


محليــات


الاقتصادية


الريـاضيـة


مقـالات


فـن


استراحة


الثقافية


دوليات


منوعـات


الرأي


عزيزتـي الجزيرة


الطبية


تحقيقات


مدارات شعبية


تغطية


زمان الجزيرة


الاخيــرة

[للاتصال بنا] [الإعلانات] [الاشتراكات] [الأرشيف] [الجزيرة]
توجه جميع المراسلات التحريرية والصحفية الى chief@al-jazirah.com عناية رئيس التحرير
توجه جميع المراسلات الفنية الىadmin@al-jazirah.com عناية مدير وحدة الانترنت
Copyright, 1997 - 2002 Al-janirah Corporation. All rights reserved