Tuesday 2nd March,2004    11478العددالثلاثاء 11 ,محرم 1425

أول صحيفة سعودية تصدرعلى شبكة الانترنت


هاجـد

المــاضي

عبدالله المــرزوق

رشيد ا لسـليم

البحث يالارشيف

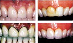
طب الأسنان التجميلي( التبيض- وجوه البور سلين - وجوه الكمبوزيت ) Cosmetic dentistry
أصبح تبييض الأسنان ضرورة ملحة والليزر آخر ماتوصل إليه طب الأسنان التجميلي

إن الاهتمام بالناحية الجمالية قد تزايد في السنوات الأخيرة متزامنا مع إيجاد وتطور الكثير من التقنيات الحديثة لحل العديد من المشكلات التجميلية فمن منا ل.........

التفاصيل

الدخان وريش الطيور والدهان والقلق أبرز أسبابه
90% من المصابين تتأزم حالهم أثناء أو بعد ممارسة الرياضة

لا شك أن التطور السريع والمذهل في عمليات القسطرة والعلاج التداخلي للشرايين التاجية وما تبع ذلك من تطور في أنواع الدعامات المختلفة للشرايين التاجية قد.........

التفاصيل

(الاستشارة الطبية قبل الحمل) مازالت أمراً غريباً في المجتمع الشرقي!!
يستفاد منها في التدخل الجراحي المبكر للحمل واكتشاف الأمراض الوراثية!!

الاستشارة الطبية قبل الحمل لماذا؟.. وكيف؟
إن أخذ المشورة الطبية قبل حدوث الحمل يعد أمراً غريباً وحديثاً على مجتمعنا الشرقي وقد يبدو السبب وراءه غير واضح لدى الكثيرين.. ولكننا هنا نؤكد على أهمي.........

التفاصيل

الربو الشعبي يصيب 10% من سكان العالم والأطفال أكثر إصابة من غيرهم
نسبة الإصابة بين أطفال المملكة تتراوح من 4% إلى 22% في بعض المدن

الرياضة وعلاقتها
بأزمات الربو الشعبي
* الربو الشعبي هو داء يصيب الجهاز التنفسي في صورة التهاب ينتج عنه ضيق وانسداد في المجاري التنفسية (الشعب والشعيبات الهوائية) وهو داء شائع، حيث ان حوال.........

التفاصيل
 

الصفحة الرئيسية

رأي الجزيرة


الاولــى


محليــات


الاقتصادية


الريـاضيـة


مقـالات


الثقافية


دوليات


متابعة


منوعـات


نوافذ تسويقية


القوى العاملة


الرأي


عزيزتـي الجزيرة


الطبية


مدارات شعبية


تغطية


حدث في مثل هذا اليوم


زمان الجزيرة


الاخيــرة

 
 

[للاتصال بنا][الإعلانات][الاشتراكات][الأرشيف][الجزيرة]
توجه جميع المراسلات التحريرية والصحفية الىchief@al-jazirah.com عناية رئيس التحرير
توجه جميع المراسلات الفنية الىadmin@al-jazirah.com عناية مدير وحدة الانترنت
Copyright, 1997 - 2002 Al-Jazirah Corporation. All rights reserved