Wednesday 22nd January,2003    11073العدد الاربعاء 19 ,ذو القعدة 1423

أول صحيفة سعودية تصدرعلى شبكة الانترنت


هاجـد

المــاضي

عبدالله المــرزوق

رشيد ا لسـليم

البحث يالارشيف

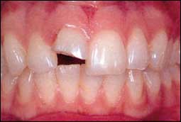
سحب العصب بدون ألم هل هي حقيقة أم خيال؟
تسوس الأسنان يؤدي إلى التهاب العصب وبالتالي تعفنه

سحب العصب بدون ألم هل هي حقيقة أم خيال؟
للإجابة على هذا السؤال سأبدأ بإعطاء فكرة مبسطة عن علاج جذور الأسنان أو ما يطلق عليه سحب العصب.
إن معالجة الجذور تعني إزالة النسج المريضة والتالفة نتيجة اصابتها بالالتهاب أو التعفن داخل السن. إن هذه النسج التي تسمى لب السن تحتوي على أعصاب وأوعية.........

التفاصيل

إضاءة
العلوم والشحوم
د. فايز نسيب تقي الدين *

السمنة المفرطة تبدأ رحلتها منذ الطفولة. كلما ترندج الخديج وانتفخت خدوده زادت السعادة المنزلية وكثرت الخلايا الشحمية..
ومن الصعب اقناع الأم الحنون أن الطفل يأخذ حاجته من الطعام ولا حاجة للاكثار.. فالوالدة العطوف ترى ابنها بحالة اضراب عن الطعام ولو أكل، فهو دائماً «ما ي.........

التفاصيل

أساسيات التغذية السليمة

إن كمية الطاقة الناتجة من حرق الطعام في الجسم تقاس بالسعرات الحرارية وتختلف مكونات الطعام الرئيسة في احتوائها على السعرات الحرارية.
- تحتوي الدهون على تسع سعرات حرارية في الجرام الواحد.
- تحتوي النشويات والبروتينات على أربع سعرات حرارية في الجرام الواحد.
وتدخل الدهون والنشويات والبروتينات في تركيب أصناف الطعام المختلفة مما يعطي هذه الأطعمة قيمتها الحرارية.
ويقسم الطعام الى ست مجموعات غذائية هي:.........

التفاصيل

نصيحة عطلة الأسبوع

الصدمة الكهربائية
* ما هو الأداء السليم في حالة حدوثها؟
1- إبعاد المصاب عن مصدر الكهرباء بعد قطع التيار الكهربائي أو باستعمال أداة عازلة غير موصلة للتيار الكهربائي مثل عصا خشبية لابعاد سلك الكهرباء أو مصدره.........

التفاصيل

تقويم الأسنان.. متى؟ ولماذا؟

كثير من الأمهات يسألن.. متى نبدأ بعلاج تقويم أسنان الأطفال؟؟
وحيث إن الفكرة السائدة بأن معالجة تقويم الأسنان لا تبدأ إلا بعد اكتمال سقوط الأسنان اللبنية بشكل كامل، نستعرض فيما يلي بعض النقاط للإجابة على هذا التس.........

التفاصيل

أنت تسأل ونحن نجيب

* أعاني منذ فترة طويلة من القولون العصبي فهل هنالك أي تأثير للحالة النفسية للمريض على تهيج القولون أم لا؟
عبدالله م.ع
- يوجد هناك علاقة وطيدة بين الحالة النفسية وتشنج القولون العصبي. فقد لوحظ أن المرضى الذين يعانون بعض الأمراض النفسية مثل الاكتئاب أو القلق يوجد عندهم.........

التفاصيل
 

الصفحة الرئيسية

رأي الجزيرة


الاولــى


محليــات


الاقتصادية


الريـاضيـة


مقـالات


المجتمـع


استراحة


الثقافية


دوليات


متابعة


منوعـات


نوافذ تسويقية


تغطية خاصة


الرأي


عزيزتـي الجزيرة


الطبية


مدارات شعبية


وطن ومواطن


زمان الجزيرة


الاخيــرة

[للاتصال بنا] [الإعلانات] [الاشتراكات] [الأرشيف] [الجزيرة]
توجه جميع المراسلات التحريرية والصحفية الى chief@al-jazirah.com عناية رئيس التحرير
توجه جميع المراسلات الفنية الىadmin@al-jazirah.com عناية مدير وحدة الانترنت
Copyright, 1997 - 2002 Al-janirah Corporation. All rights reserved