|
دعا مدير الإدارة العامة للمرور العميد سليمان بن عبدالرحمن العجلان إلى مضاعفة الدور الفاعل في محاربة ظاهرة التفحيط التي تسببت في إزهاق الأرواح والإصابات للعديد من الناس وذلك من تكثيف إدارة المرور لنشاطها ومتابعتها لهذه الظاهرة والقبض على الممارسين لها وتطبيق العقوبات
...>>>...
|
|
|
|
أطلقت هيئة الهلال الأحمر السعودي مؤخراً (11) فرقة إسعاف لدعم مراكز إسعاف مدينة الرياض، وذلك لما تشهده مدينة الرياض في كل يوم من زيادة وتيرة في الحركة المرورية خصوصاً في أوقات الذروة حيث ستعمل تلك الفرق 12 ساعة يومياً لتغطية الزيادة المستمرة على طلب الفرق الطبية الإسعافية.وأوضح
...>>>...
|
|
|
|
دعت المديرية العامة للجوازات حجاج بيت الله الحرام المتبقين إلى عدم التأخر وسرعة المغادرة قبل السادس عشر من شهر محرم الجاري. |
وقالت المديرية: (لقد أوشكت الفترة الزمنية المتبقية للحجاج للبقاء في المملكة على الانتهاء وإن عليهم المغادرة حتى لا يتعرضوا للمساءلة وتطبيق
...>>>...
|
|
|
|
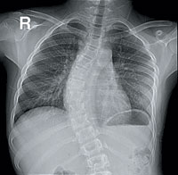
أضاف مستشفى الملك خالد الجامعي تقنية جديدة من خلال جهاز (فبتر) الذي يساعد على تعديل انحراف العمود الفقري لدى الأطفال دون سن التاسعة حيث يسمح هذا الجهاز للعمود الفقري بالنمو بعد التعديل على خلاف الأجهزة الأخرى. |
وأكد الأستاذ المشارك بكلية الطب واستشاري
...>>>...
|
|
|
|
اعتمد مدير عام صندوق التنمية العقارية المهندس محمد بن وصل الله الحربي الدفعة السادسة والمشتملة على تقديم (6509) قرضً جديدة لبناء (7810) وحدة سكنية بمدن ومحافظات ومراكز المملكة المشمولة بخدمات الصندوق وبحسب أولوية تقديم القرض. وأوضح الحربي فيه أن قيمة هذه الدفعة بلغت
...>>>...
|
|
|
حول مواطن بمحافظة الداير التابعة لمنطقة جازان منزله إلى سجن لولديه وزوجته وذلك للتغلب على ظروفهم الصحية التي يعانون منها منذ أكثر من 20 عاما ولعدم قناعته بالطب النفسي وخوفه من الخطر الذي قد يشكله إطلاقهم على أنفسهم وعلى السكان المجاورين.حيث قام المواطن (تحتفظ الجزيرة
...>>>...
|
|
|
|
| |

| خدمات الجزيرة |

| اصدارات الجزيرة |
|
|
|