|
|
|
|
برنامج جديد يساعد الشرطة في قضايا القتل |  طور علماء تقنيون في اسكتلندا برنامجا أمنيا وتحليليا جديدا للكمبيوتر قد يتمكن قريبا من مساعدة قطاع الشرطة في التحري عن الوفيات المثيرة للريبة والجدل، والتي يتخللها كثير من الدوافع. وقالت مجلة ........التفاصيل
|
|
|
|
الإنترنت السريع خطر على المستخدمين !! |  * القاهرة مكتب الجزيرة عاطف عوض: أشارت دراسة حديثة نشرها اتحاد امان الانترنت في الولايات المتحدة ان اجهزة الحاسب الآلي غير المحمية تحمل بداخلها العديد من الاسرار العائلية وان غالبية هذه ........التفاصيل
|
|
|
دليل المواقع |  إعداد: خالد العبد الهادي المدرسة العربية
https://www.schoolarabia.net اللغة: عربية الوصف: موقع عربي هادف وفريد من نوعه حيث يقدم دروسا باللغة العربية في معظم المواد الدراسية ولجميع المراحل ........التفاصيل |
|
|
|
|
عناوين جديدة |
Hello! Magazine
www.hellomagazine.com
وفق أسلوب تفاعلي عصري، يوفر موقع (هلو!ماغازين) تغطية شاملة موسعة لأخبار الفن والمشاهير ويحقق الموقع الاستفادة القصوى من مرونة إلغاء الإعلام الإلكتروني ........التفاصيل |
|
|
|
مشغل DVD في حقيبة Bag a in | 
موقع الشراء: www.discovery.com السعر:
399,95 $ دولاراً الآن يمكنك مشاهدة أفلامك المفضلة في أي مكان . فهذه الحقيبة تحتوي على جهاز لتشغيل أقراص الدي.في.دي وهو مزود بشاشة مقاسها 5 ،6 بوصات ........التفاصيل
|
|
المدرس الإليكتروني Iquest electronic tutor | 
موقع الشراء: www.discovery.com
السعر: 99 $ دولاراً هل تذكر مقاعد الدراسة والاختبارات المفاجئة التي كانت تصادف الطلاب من وقت لآخر ؟..هذا الجهاز الجديد الذي تراه في الصورة يعمل بنفس الفكرة، ........التفاصيل |
|
مكتشف المواهب IKTV Karaoke Machine | 
موقع الشراء: www.discovery.com السعر: 95 ،49 دولاراً استمتع مع ثلاثة من أصدقائك إذا رغبت واقضوا أجمل الأوقات معا في محاولة لاستكشاف مواهب قد تكون مدفونة في انتظار من يجدها، هذا الجهاز ليس ........التفاصيل
|
|
|
|
قبة النجوم المنزلية HOME STAR THETER | 
موقع الشراء: www.discovery.com السعر:
29,95$ دولار حول غرفتك إلى مرصد فلكي متكامل تشاهد فيه المجموعات الشمسية والنجوم المختلفة وهي تضيء سقف غرفتك بشكل مذهل ولافت للنظر. هذه المجموعة تصلك ........التفاصيل
|
|
|
|
|
|
المحطة الصوتية |  موقع الشراء:
www.discovery.com السعر: 99 ،299 دولاراً الأعمال المكتبية ستصبح أسهل من أي وقت مضى مع هذا الجهاز الصغير الذي يمكنك من ربط مكتبك ببقية المكاتب في شركتك. هذا الرابط الصوتي ........التفاصيل |
|
ساعي البريد الإليكتروني |  السعر: 99 ،29 دولاراً موقع الشراء:
www.discovery.com هذا الجهاز الظريف سيكون الهدية المثالية لكل من يكره الخروج للشارع من أجل تفقد صندوق بريده أو صندوق الصحف ليجده في النهاية فارغا. فهو ........التفاصيل
|
|
|
|
|
|
|
|
|
|
ويل رايت يودع عالم ألعاب الفيديو |  يبدو ان انتقال المخرج الهوليوودي «جون وو» مخرج فيلم المهمة المستحيلة الجزء الثاني الى عالم ألعاب الفيديو بالتعاون مع سيغا أثار غيرة بعض كبار مصممي ألعاب الفيديو . فها هو المصمم العالمي الشهير ........التفاصيل
|
|
|
|
الجنود المرتزقة.. ألعاب عنف للراشدين | 
بدأت شركة رايفين سوفتويرز Raven Software تحصد ثمار الجهد الذي بذلته على أحدث ألعابها Soldiers Of Fortune أو المرتزقة، إذ إن عدد المبيعات بدأ بالارتفاع بشكل كبير، خصوصاً مع النزاعات العسكرية ........التفاصيل
|
|
|
(مسرح فيغا): عالم مختلف للترفيه المنزلي | 
أعلنت (سوني) الخليج Sony Gulf عن طرح نظام الترفيه المنزلي الجديد (مسرح فيغا)، الذي تم تصميمه وصنعه ليرقى بمتعة الترفيه المنزلي الى آفاق جديدة وليتكامل مع كل ركن من أركان المنزل. ويتضمن نظام ........التفاصيل |
|
|
|
شعاع الليزر كبديل للمشرط الجراحي |  * د.نهاد ربيع:
لقد استغرق الليزر مائة عام لكي يصبح من ضمن أدوات الجراحة الهامة، ويبنى عمل الليزر على نظرية ألبرت أينشتين في بدايات القرن العشرين. فأول نوع من أنواع الليزر تم استخدامه هو ........التفاصيل |
|
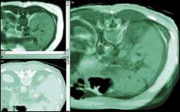
تكنولوجيا التصوير الطبي |  سوف نستعرض سويا من خلال هذه الدراسة العلاقة النسبية بين التطورات الحاصلة في استخدامات تقنية التصوير الطبي وتأثيرها المباشر على تقليل احتمالات التدخل الجراحي. وذلك في إطار التوصيات التي تمخضت ........التفاصيل
|
|
التعامل مع الإطارات بندر العتيبي | 
في الدروس السابقة تحدثنا عن الواجهة الرئيسية للبرنامج وكيف يمكن لك أن تجعل البرنامج يدعم اللغة العربية بالإضافة إلى خصائص الصفحة« Page Propertis» كما تحدثنا بالتفصيل عن شريط القوائم في خمس ........التفاصيل |
|
|