|
|
|
تعتبر عمليات الليزك من أحدث الطرق المتبعة حالياً لعلاج عيوب الإبصار من قصر أو طول نظر أو إنحراف، وهي تقنية تعتمد على استخدام جهاز الإكزايمر ليزر، بالإضافة إلى الجراحة الدقيقة، وهذه العملية تعتبر من العمليات التي تتميز بنسبة نجاح مرتفعة وتغني عن النظارات والعدسات المستخدمة لدى الكثير. ويسرنا أن نلتقي
...>>>...
|
|
|
|
|
يكاد أن يكون الكل قد مرت عليه أيام وأسابيع بل حتى أشهر وهو يعاني من التهابات الجيوب الأنفية، فما هو التهاب الجيوب الأنفية إذن؟ إنه ببساطة التهاب الغشاء المبطن للجيوب الأنفية.. والجيوب لها دور في تعديل نوعية الصوت وترطيب الهواء الداخل للرئتين وغربلته وتخليصه مما علق به من الشوائب.. كما تقوم الجيوب الأنفية
...>>>...
|
|
|
|
|
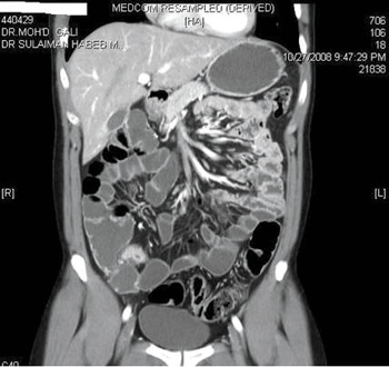
يعتمد تشخيص وفحص الأمعاء الدقيقة منذ زمن طويل على استخدام الأشعة التي ما زالت تستخدم حتى الآن، ولكن في الآونة الأخيرة طرأ الكثير من التطور على هذه الفحوصات والاستعانة بتقنيات جديدة في كل مرة، حتى تم استخدام الكبسولة التشخيصية للجدار الداخلي للأمعاء إلا أن الأشعة ظلت مهمة جداً في هذا المجال.
...>>>...
|
|
|
|
|
معرفة العقم عند الرجل تكون بتحليل السائل المنوي لديه، فالسائل المنوي لدى الرجل يتكون من 90% سوائل مفرزة من الغدد المختلفة في الخصية للجهاز التناسلي أي من البروستات والحويصلات المنوية وغدد مجرى البول و10% عبارة عن حيوانات منوية وإفرازات البربخ، وهناك أيضاً خلايا في الخصية تعرف باسم خلايا سرتولي وظيفتها
...>>>...
|
|
|
|
|
في البداية أحب أن أوضح أن مرض السكري هو زيادة نسبة السكر في الدم وهو من الأمراض الشائعة بين الناس، وتصل نسبة الإصابة بهذا المرض إلى حوالي 4% من البشر عند معظم الشعوب، وهو ينقسم إلى قسمين الأول يعتمد على الأنسولين، ويحدث عند الصغار. أما النوع الثاني فلا يعتمد على الأنسولين، ويصيب الكبار.
...>>>...
|
|
|
|
|
الأمراض التناسلية هي الأمراض التي يتم انتقالها من شخص مصاب إلى شخص سليم عن طريق الاتصال الجنسي، وهي أمراض يتوجب معرفتها ونشر المعلومات اللازمة عنها لتجنب الإصابة بها نظراً لخطورتها ولنتائجها السيئة على الفرد والأسرة وعلى المجتمع.
|
|
مرض الزهري وهو مرض معدٍ جداً، ينتقل عن طريق الاتصال الجنسي
...>>>...
|
|
|
|
|
|

|
خدمات الجزيرة |
|

|
اصدارات الجزيرة |
|
|
|